- 2025-05-05
- 66 بازدید
- 0 دیدگاه
- سلامت
دکتر کامپوزیت دندان در شیراز | خدمات + لیست قیمت 1404
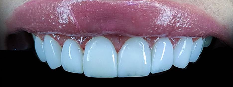
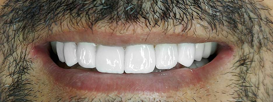
کامپوزیت دندان چیست و چه مزایایی دارد؟
کامپوزیت ونیر در واقع لایههای نازکی از مواد رزینی همرنگ دندان است که توسط دندانپزشک با مهارت و دقت روی سطح جلویی دندانها قرار داده میشود تا عیوب ظاهری آنها را بپوشاند. این ماده خمیری شکل، پس از قرارگیری روی دندان، با استفاده از نور مخصوص (لایت کیور) سخت میشود و به دندان میچسبد. از کامپوزیت میتوان برای اصلاح مشکلات متعددی مانند بستن فاصله بین دندانها (دیاستم)، ترمیم شکستگیها و لبپریدگیها، پوشاندن لکهها و تغییر رنگها، و همچنین اصلاح نامرتبیهای خفیف دندانی استفاده کرد. اما چرا کامپوزیت دندان در شیراز تا این حد پرطرفدار شده است؟
زیبایی و طبیعی بودن: مواد کامپوزیتی در طیف رنگی وسیعی موجود هستند و دندانپزشک میتواند نزدیکترین رنگ به دندانهای طبیعی شما را انتخاب کند تا نتیجه نهایی کاملاً طبیعی به نظر برسد.
حداقل تراش دندان: برخلاف لمینت سرامیکی، در بسیاری از موارد برای نصب کامپوزیت نیازی به تراشیدن مینای دندان نیست یا تراش بسیار جزئی خواهد بود. این یعنی حفظ ساختار سالم دندان شما.
سرعت درمان: کامپوزیت ونیر معمولاً در یک جلسه درمانی انجام میشود و شما میتوانید با لبخندی جدید از کلینیک خارج شوید.
قابلیت ترمیم: اگر کامپوزیت دچار لبپریدگی یا شکستگی شود، به راحتی توسط دندانپزشک قابل ترمیم است.
کامپوزیت یا لمینت؟ کدام برای شما در شیراز بهتر است؟
لمینتهای سرامیکی پوستههای بسیار نازکی هستند که در لابراتوار ساخته شده و سپس روی دندان چسبانده میشوند. در مقابل، کامپوزیت مستقیماً توسط دندانپزشک روی دندان فرم داده میشود.
به طور خلاصه، تفاوتهای اصلی این دو روش عبارتند از:
روند درمان: کامپوزیت معمولاً یک جلسهای است، لمینت حداقل به دو جلسه نیاز دارد (قالبگیری و چسباندن).
تراش دندان: کامپوزیت نیاز به تراش کمتر یا بدون تراش دارد، لمینت نیازمند تراشیدن سطح دندان است.
دوام و طول عمر: لمینتها معمولاً دوام بیشتری (۱۰ تا ۱۵ سال یا بیشتر) نسبت به کامپوزیتها (۵ تا ۷ سال) دارند.
ثبات رنگ: لمینت مقاومت بسیار بالایی در برابر تغییر رنگ دارد، در حالی که کامپوزیت ممکن است به مرور زمان و با مصرف مواد رنگی، کمی تغییر رنگ دهد.
هزینه: کامپوزیت به طور قابل توجهی ارزانتر از لمینت است.
مراحل انجام کامپوزیت دندان در شیراز با کلینیک دیجیتال تبسم
در کلینیک دندانپزشکی دیجیتال تبسم، ما به ارائه خدمات با بالاترین کیفیت و با استفاده از تکنولوژیهای روز دنیا افتخار میکنیم. انجام کامپوزیت دندان در شیراز در کلینیک ما طی مراحل دقیق و حسابشدهای صورت میگیرد:
مشاوره رایگان و معاینه دقیق: اولین قدم، یک جلسه مشاوره کامل با دکتر مریم زراعت کار یا دیگر متخصصان کلینیک است. در این جلسه، انتظارات شما شنیده شده، وضعیت دندانها و لثههایتان به دقت بررسی میشود و بهترین طرح درمان برای شما پیشنهاد میگردد.
انتخاب رنگ ایدهآل: با استفاده از شید گاید و با در نظر گرفتن رنگ پوست، رنگ سایر دندانها و سلیقه شما، مناسبترین رنگ کامپوزیت انتخاب میشود تا نتیجهای کاملاً طبیعی و هماهنگ حاصل شود.
آمادهسازی سطح دندان: سطح دندانها تمیز و خشک میشود. در صورت نیاز، ممکن است سطح دندان با مواد مخصوصی کمی متخلخل (اچ) شود تا چسبندگی کامپوزیت افزایش یابد. همانطور که گفته شد، معمولاً نیازی به تراش وسیع نیست.
اجرای کامپوزیت و فرمدهی هنرمندانه: دندانپزشک، مواد کامپوزیت خمیری شکل را لایه به لایه روی دندان قرار داده و با مهارت و دقت، آن را فرم میدهد تا شکل، اندازه و ظاهر دلخواه ایجاد شود. هر لایه با استفاده از نور مخصوص سخت میشود.
پولیش نهایی برای درخشش لبخند: پس از اتمام فرمدهی، سطح کامپوزیتها با ابزارهای مخصوص پولیش داده میشود تا کاملاً صاف، براق و شبیه به مینای طبیعی دندان به نظر برسد. این مرحله نقش مهمی در زیبایی نهایی و جلوگیری از تجمع پلاک دارد.

قیمت کامپوزیت دندان در شیراز چقدر است؟ (هزینه و شرایط اقساطی در کلینیک تبسم)
قیمت کامپوزیت دندان در شیراز، مانند سایر شهرها، به عوامل مختلفی بستگی دارد، از جمله:
برند و کیفیت مواد کامپوزیت: برندهای مختلف با کیفیتها و قیمتهای متفاوتی در بازار موجود هستند. کلینیک تبسم از مواد با کیفیت بالا و معتبر جهانی استفاده میکند.
تخصص و تجربه دندانپزشک: مهارت و هنر دندانپزشک نقش بسزایی در نتیجه نهایی دارد.
تعداد دندانهای تحت درمان: هزینه نهایی به تعداد دندانهایی که کامپوزیت میشوند، بستگی دارد.
نیاز به درمانهای جانبی: گاهی قبل از کامپوزیت، نیاز به جرمگیری یا درمانهای دیگر وجود دارد که هزینه جداگانهای دارند.
در کلینیک دندانپزشکی دیجیتال تبسم امکان کامپوزیت اقساطی در شیراز را فراهم کردهایم. شما میتوانید با پرداخت بخشی از هزینه، مابقی را به صورت اقساط پرداخت کنید و بدون نگرانی مالی، به لبخند رویایی خود برسید.

چرا کلینیک تبسم برای انتخاب کامپوزیت دندان در شیراز مناسب است؟
کلینیک دندانپزشکی دیجیتال تبسم از بهترین مراکز کامپوزیت دندان در شیراز شناخته میشود:
مدیریت و تخصص دکتر مریم زراعت کار: دکتر زراعت کار و تیم متخصص ایشان، دارای دانش بهروز، تجربه بالا و مهارت هنری لازم برای خلق لبخندهای زیبا و طبیعی با کامپوزیت هستند.
استفاده از تکنولوژی دیجیتال: بهرهگیری از تجهیزات مدرن و تکنولوژیهای دیجیتال در تشخیص، طراحی لبخند و اجرای درمان، دقت و کیفیت کار را به شکل چشمگیری افزایش میدهد.
مشاوره رایگان و شرایط اقساطی: ما با ارائه مشاوره رایگان و در نظر گرفتن شرایط پرداخت اقساطی، سعی در تسهیل دسترسی شما به خدمات زیبایی دندانپزشکی داریم.
رضایت بالای مراجعین: مشاهده نمونهکارها و شنیدن نظرات مثبت مراجعین قبلی، گواهی بر کیفیت خدمات ماست.
اگر به دنبال بهترین مرکز برای انجام کامپوزیت دندان در شیراز هستید، کلینیک دندانپزشکی دیجیتال تبسم با بهرهگیری از دانش روز، تجربه متخصصان و شرایط پرداخت مناسب، آماده ارائه خدمات به شماست. شما میتوانید در این مرکز دیگر خدمات زیبایی، مانند لمینت دندان و یا ایمپلنت دیجیتال را هم انجام دهید.
شماره تماس کلینیک تبسم جهت رزرو مشاوره رایگان: 09029025506

ارسال دیدگاه