- 2025-06-08
- 36 بازدید
- 0 دیدگاه
- سلامت
تحلیل لثه در ارتودنسی؛ راهنمای جامع دلایل و راهکارها
تحلیل لثه یکی از چالشهای رایج در مسیر درمان ارتودنسی است که میتواند سلامت دهان و زیبایی لبخند را تحت تأثیر قرار دهد. بر اساس گزارش آکادمی پریودنتولوژی آمریکا (AAP)، حدود ۳۰ درصد از بیماران ارتودنسی در معرض خطر تحلیل لثه هستند؛ آماری که اهمیت توجه به این موضوع را دوچندان میکند.
این عارضه معمولاً با علائمی مانند حساسیت، خونریزی و عقبنشینی لثه همراه است و طبیعی است که باعث نگرانی بسیاری از بیماران شود. اما جای نگرانی نیست؛ با تشخیص زودهنگام و درمان تخصصی، تحلیل لثه قابل کنترل و حتی قابل درمان است.
در این مقاله کوتاه و مفید، به سراغ دلایل اصلی بروز تحلیل لثه و روشهای مؤثر پیشگیری و درمان آن میرویم تا به شما کمک کنیم با خیال راحتتری از درمان ارتودنسی خود مراقبت کنید و لبخندی سالم و زیبا بسازید.
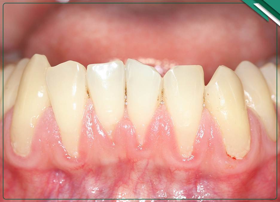
تحلیل لثه چیست؟ کاهش بافت لثه و نمایان شدن ریشه دندان
تحلیل لثه به معنای کاهش بافت لثهای است که دندانها را دربرمیگیرد و منجر به نمایان شدن ریشه دندان میشود. این وضعیت باعث حساسیت دندانها، التهاب و افزایش خطر پوسیدگی ریشه خواهد شد و سلامت دهان را به خطر میاندازد. تحلیل لثه در بیماران تحت درمان ارتودنسی، به ویژه در فرآیندهای پیچیده مانند ارتودنسی دو فک که نیازمند مراقبتهای دقیقتر است، اهمیت بالاتری دارد. این عارضه نهتنها باعث کاهش زیبایی لبخند میشود بلکه بر نتیجه نهایی درمان و هزینه ارتودنسی دو فک نیز تاثیرگذار است. شناخت دقیق تحلیل لثه برای ارائه درمان مناسب و حفظ سلامت طولانیمدت دندانها ضروری است.
چرا برخی بیماران در حین ارتودنسی دچار تحلیل لثه میشوند؟

تحلیل لثه در حین ارتودنسی که به آن پسروی یا عقبنشینی لثه (Gingival Recession) نیز گفته میشود، یکی از عوارض جانبی احتمالی این درمان است. اگرچه این پدیده برای همه رخ نمیدهد، ولی مجموعهای از عوامل بیولوژیکی و مکانیکی ریسک وقوع این اتفاق را افزایش میدهند:
حرکت دندان به خارج از محدوده استخوان: حرکت دادن دندان به خارج از پوشش استخوانی، باعث تحلیل استخوان میشود. این موضوع بهویژه در افرادی که بافت استخوانی ضعیفتری دارند یا در مناطقی با الگوهای متفاوت سلامت دهان زندگی میکنند (مثلاً شهرهای بزرگ)، نیازمند دقت بالای درمانگر است. در چنین شرایطی، تجربه و ارزیابی دقیق توسط یک متخصص ارتودنسی غرب تهران یا منطقهای که بیمار در آن زندگی میکند، میتواند از بروز تحلیل لثه جلوگیری کند.
نیروی بیشازحد و سریع ارتودنسی: نیروهای سنگین و سریع ارتودنسی به بافت نگهدارنده دندان آسیب زده و با تحلیل استخوان، باعث عقبنشینی و از بین رفتن بافت نرم لثه میشود.
بهداشت ضعیف و التهاب لثه: بهداشت ضعیف باعث تجمع پلاک و التهاب لثه (ژنژیویت) میشود. این التهاب مزمن، استخوان و بافت لثه را تخریب کرده و باعث تحلیل آن خواهد شد.
بیوتایپ (ضخامت) لثه بیمار: افراد با لثههای نازک و حساس (بیوتایپ نازک)، بهطور ذاتی مقاومت کمتری دارند و در برابر حرکت دندان یا التهاب، بسیار مستعد تحلیل لثه هستند.
سابقه بیماری پریودنتال: وجود بیماری یا تحلیل لثه قبل از درمان، یک عامل خطر است. حرکت دندانها این مشکل زمینهای را تشدید کرده و باعث بدتر شدن آن میشود.
مسواک زدن نادرست و آسیب فیزیکی: مسواک زدن با فشار بیشازحد یا استفاده از مسواکهای زبر، بهصورت فیزیکی به بافت لثه آسیب زده و موجب سایش و عقبرفتن آن میشود.
جلوگیری از تحلیل لثه در ارتودنسی

نگران تحلیل لثه در درمان ارتودنسی نباشید؛ امروزه حفظ سلامت لثهها جزو اصول موفقیت درمان است، نه یک اتفاق شانسی. این موفقیت حاصل همکاری هوشمندانه شما و متخصص است.
دندانها مانند گیاه در گلدان هستند؛ گلدان، استخوان فک و لثه، خاک نگهدارنده ریشه است. متخصص ماهر (باغبان) ابتدا سلامت خاک و اندازه گلدان را میسنجد و دندان را بهآرامی در جای درست هدایت میکند، نه با فشار. شما نیز وظیفه مراقبت از لثه را دارید. با رعایت بهداشت، از التهاب و تحلیل جلوگیری میکنید.
درمان تحلیل لثه ناشی از ارتودنسی چیست؟
خوشبختانه تحلیل لثه در بیشتر موارد قابل درمان است و جای نگرانی ندارد. نوع درمان به شدت عارضه بستگی دارد.
اولین گام، حذف عامل ایجادکننده است: اصلاح نیروها توسط متخصص ارتودنسی و یادگیری روش صحیح مسواک زدن توسط شما. در موارد خفیف، همین اقدامات کافی است.
اما اگر تحلیل شدید باشد و ریشه دندان نمایان شود، درمان اصلی پیوند لثه است که توسط متخصص لثه (پریودنتیست) انجام میشود. در این روش، بخشی از بافت سالم (معمولاً از سقف دهان) برداشته و به ناحیه آسیبدیده پیوند زده میشود.
آیا درمان سختی است؟ خیر، این یک جراحی سرپایی و بسیار رایج با درصد موفقیت بسیار بالا است. اگرچه چند روزی نیاز به مراقبت دارد، اما یک فرایند استاندارد است که نتیجهای ماندگار و سالم به همراه دارد.
چه عواملی در موفقیت ارتودنسی و هزینه نهایی آن موثرند؟
موفقیت درمان ارتودنسی و هزینه نهایی آن به یک نسخه واحد محدود نمیشود و مجموعهای از عوامل دخیل هستند. این مسیر یک همکاری دوجانبه است که در شرایط بالینی بیمار و تخصص پزشک، یک نقش اساسی در تعیین پیچیدگی، طول درمان و در نتیجه هزینهها دارند. مهمترین عوامل پزشکی که مستقیما بر روند درمان و هزینه تأثیر میگذارند، عبارتاند از:
شدت و نوع ناهنجاری اولیه: شلوغی، فاصله بین دندانها و مشکلات فکی، پیچیدگی درمان را تعیین میکند.
سن بیمار و الگوی رشد فک: درمان در سنین رشد اغلب سادهتر و کمهزینهتر از بزرگسالی است.
نیاز به درمانهای جانبی: کشیدن دندان، جراحی فک یا نیاز به دستگاههای کمکی، هزینه را افزایش میدهد.
سلامت لثه و استخوان: وجود بیماریهای لثه یا تحلیل استخوان، نیازمند مدیریت ویژه و افزایش طول درمان است.
علاوه بر این موارد، نوع دستگاه انتخابی (مانند براکتهای فلزی، سرامیکی یا الاینرهای شفاف) نیز مستقیما بر هزینه تاثیر میگذارد.
مسیر رسیدن به لبخند ایدهآل را با یک متخصص شروع کنید!
تحلیل لثه در ارتودنسی یک خطر اجتنابناپذیر نیست، بلکه چالشی قابل مدیریت است. با انتخاب متخصصی باتجربه و رعایت بهداشت دهان، رسیدن به لبخندی زیبا با لثههایی سالم کاملاً ممکن است.
اگر نگران سلامت لثه در طول درمان هستید، کلینیک دندانپزشکی ایدهآل با طرح درمان اختصاصی و تکنیکهای روز، کنار شماست.
برای مشاوره تخصصی و رایگان در نزدیکترین شعبه تهران، همین امروز تماس بگیرید و مسیر لبخند ایدهآلتان را آغاز کنید.

ارسال دیدگاه